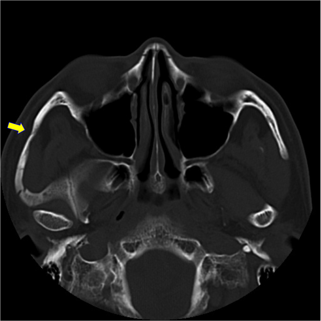
術前1(左)、2(右)
頬の外側に強い衝撃を受けると、頬骨の外側の弓なりになっている部位が骨折することがあります(矢印)。これにより、口が開きにくくなります。
術後
手術により、骨の位置が正常に戻っています(矢印)。